Thoracic Spurs In X-Rays: A Comprehensive Guide

L.Inkish 13 views
Thoracic Spurs In X-Rays: A Comprehensive Guide

Thoracic Spurs in X-Rays: A Comprehensive Guide

Hey there, health enthusiasts! Ever heard of thoracic spurs and how they show up on an X-ray ? If not, you’re in the right place! We’re about to dive deep into the world of these bony growths, what causes them, how they’re spotted, and what they might mean for your health. So, grab a comfy seat, and let’s unravel the mysteries of thoracic spurs together. This comprehensive guide will take you through everything you need to know, from the basics to the nitty-gritty details, all explained in a way that’s easy to understand. Ready to learn more? Let’s get started!

What are Thoracic Spurs? The Basics Explained

Okay, so what exactly are thoracic spurs ? Think of them as small, pointy outgrowths of bone that form along the edges of your vertebrae in the thoracic spine—that’s the part of your spine that runs through your chest. These little bony bumps are medically known as osteophytes. They’re like the body’s way of trying to repair or stabilize the spine in response to various stressors. They can vary in size and shape, sometimes appearing as tiny bumps and other times growing into more prominent projections. They are not always a cause for alarm, but understanding their presence and potential causes is crucial. Essentially, thoracic spurs are a sign that something is going on within your spine. It’s like a warning flag that the body is trying to deal with an issue. They’re typically identified through imaging tests, like an X-ray , which allows doctors to visualize the bony structures of your spine. Knowing the basics of what they are and how they appear is the first step toward understanding their significance and any related health implications.

Now, let’s explore some of the common causes and factors that contribute to the development of thoracic spurs. This will provide you with a clearer picture of how these bony formations come about and what they might signal about your health. The formation of thoracic spurs is often related to the natural aging process, which brings about changes in the spine. Over time, the cartilage that cushions the spinal joints can deteriorate, leading to bone-on-bone friction and the formation of these spurs. Besides aging, other factors such as injury, poor posture, and certain medical conditions can increase your risk. Injuries to the spine, such as fractures or strains, can trigger the body to produce spurs as a part of the healing process. Poor posture, particularly when maintained over long periods, can place undue stress on the spine, contributing to the development of thoracic spurs . Specific conditions, like osteoarthritis and spinal stenosis, are also significant contributors. Osteoarthritis, a degenerative joint disease, causes the breakdown of cartilage in the spinal joints, which can then lead to spur formation. Spinal stenosis, which is the narrowing of the spinal canal, also plays a role as the body tries to compensate for the changes.

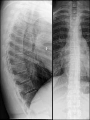
How Thoracic Spurs Appear on X-Rays

So, how do thoracic spurs actually show up on an X-ray ? Let’s get into the nitty-gritty. An X-ray is essentially a type of imaging test that uses electromagnetic radiation to create pictures of the inside of your body, specifically your bones. When it comes to thoracic spurs , the X-ray is able to clearly visualize these bony growths. In the X-ray images, thoracic spurs typically appear as small, pointy or irregular projections that stick out from the edges of the vertebrae. They can vary in size and shape. You might see them as tiny, subtle bumps, or they could be larger and more pronounced. The radiologist or doctor looks for these abnormalities along the vertebral bodies and the facet joints, which are the areas where the vertebrae connect. Depending on the position and angle of the X-ray , the spurs might appear more or less prominent. Sometimes, they can be quite obvious; other times, they require a trained eye to spot them. The specific appearance of the spurs on the X-ray can provide clues about the underlying cause and severity of the condition. For example, the location of the spurs can help pinpoint which part of the spine is most affected. Also, the size and number of spurs can provide an indication of the extent of the spinal changes. The X-ray also helps doctors rule out other possible conditions that may be causing similar symptoms. The X-ray doesn’t provide the complete picture. Further tests might be needed to determine if the spurs are causing any symptoms or if there’s any damage to the surrounding tissues.

When reviewing an X-ray , healthcare professionals will look at several key features. Firstly, they examine the alignment of the vertebrae, looking for any signs of curvature or instability. Next, they carefully assess the bone density, searching for signs of wear and tear, and the presence of any other abnormalities. They will note the size, shape, and location of any thoracic spurs . The presence of other conditions is assessed as well. These are vital for determining the overall health of the spine. The X-ray provides essential information, but further evaluation might be required for a detailed understanding of the patient’s condition. Remember, interpreting an X-ray is a job for trained professionals. They can make accurate diagnoses and create effective treatment plans. Let’s delve deeper into how these spurs are diagnosed and what treatments might be in store.

Diagnosis and Imaging Techniques Beyond X-Rays

Okay, so you’ve got the X-ray done. What’s next in the diagnosis of thoracic spurs ? While X-rays are the initial go-to, they don’t always tell the whole story. Sometimes, doctors need to dig a little deeper. The diagnostic journey often involves a combination of methods. First off, there’s a thorough review of your medical history and a physical examination. The doctor will ask about your symptoms. They’ll also check your range of motion, and look for any signs of pain or tenderness. This information helps them understand the bigger picture. Then, beyond the standard X-ray , other imaging techniques might be employed. These additional methods provide more detailed insights. A Computed Tomography (CT) scan gives a cross-sectional view of the spine. It’s like slicing your spine into thin layers, so doctors can see even the tiniest details. CT scans are particularly helpful for visualizing the bony structures and the presence of thoracic spurs . Another option is a Magnetic Resonance Imaging (MRI) scan. MRI uses powerful magnets and radio waves to create detailed images of the soft tissues, including the spinal cord, nerves, and discs. MRIs are super useful for identifying any nerve compression or other soft tissue issues that might be related to the spurs. Depending on the situation, the doctor might also use a bone scan. Bone scans can detect areas of increased bone activity. They are good for detecting inflammation or other changes in the bones. Sometimes, a doctor might recommend a myelogram. This involves injecting dye into the spinal canal and taking X-rays or CT scans. A myelogram helps visualize the spinal cord and nerve roots, especially to check for any compression caused by spurs. Each of these imaging methods offers unique advantages, and the choice depends on the specific needs of the patient and what the doctor is trying to find. This comprehensive approach helps ensure an accurate diagnosis and appropriate treatment. So, you can see that it’s not always just about the X-ray ! It’s about putting together all the pieces of the puzzle.

Once a diagnosis has been made, the next step involves developing a treatment plan, tailored to the individual’s needs. Treatment options vary greatly, depending on the severity of the thoracic spurs , and whether they are causing any symptoms. Let’s talk about that.

Treatment Options: What to Expect

Alright, so you’ve been diagnosed with thoracic spurs . What’s the game plan? Well, it depends on a few things: how bad the spurs are, and whether they’re causing any problems. The good news is that many people with thoracic spurs don’t need any special treatment. If the spurs aren’t causing pain or other symptoms, your doctor might just recommend a