Pseudomyxoma Peritonei: Understanding And Managing PMP

L.Inkish 83 views
Pseudomyxoma Peritonei: Understanding And Managing PMP

Pseudomyxoma Peritonei: Understanding and Managing PMP

Hey everyone! Today, we’re diving deep into a topic that sounds pretty complex, but is super important to understand if you or someone you know is dealing with it: Pseudomyxoma Peritonei , often shortened to PMP . Guys, this isn’t your everyday kind of health chat, but knowing about PMP can make a huge difference. We’re going to break down what PMP actually is, why it happens, how it’s diagnosed, and most importantly, what the treatment options look like. Our goal here is to arm you with knowledge, making this journey a little less daunting. We’ll cover the symptoms you might notice, the diagnostic process, and the cutting-edge treatments available. So, buckle up as we explore Pseudomyxoma Peritonei, one of the rarer but significant medical conditions out there. Understanding PMP is the first step towards effective management and better outcomes for those affected. This condition, characterized by the gelatinous (‘jelly’) ascites accumulating in the abdominal cavity, often originates from a ruptured appendiceal mucinous neoplasm. It’s a slow-growing cancer, which can sometimes lead to a delayed diagnosis. The management of PMP is complex and typically requires a multidisciplinary approach involving surgeons, oncologists, and pathologists. The goal is often to remove as much of the tumor and gelatinous material as possible, coupled with chemotherapy, to control the disease and improve quality of life. We’ll explore the different stages and how they impact treatment strategies. It’s crucial for patients and their families to have a clear understanding of PMP, its progression, and the available therapeutic interventions to make informed decisions about their care. This article aims to provide comprehensive insights into PMP, ensuring that readers gain a solid grasp of this challenging condition.

What Exactly is Pseudomyxoma Peritonei (PMP)?

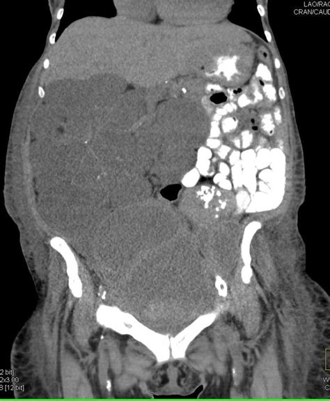
So, let’s get right down to it, guys: What is Pseudomyxoma Peritonei (PMP)? At its core, PMP is a rare condition where a specific type of tumor, usually originating from the appendix, releases mucin (a component of mucus) into the abdominal cavity. This mucin then starts to accumulate, forming a thick, gelatinous substance that can fill the abdomen. Think of it like a slow-motion jelly flood inside your belly. The key thing to remember is that PMP is typically a low-grade malignancy, meaning it tends to grow and spread slowly compared to other cancers. However, slow doesn’t mean harmless . As this gelatinous material builds up, it can put pressure on your organs, leading to a range of symptoms and complications. The origin is most commonly the appendix – in about 70-80% of cases, PMP starts as a mucinous tumor of the appendix. This tumor can rupture, spilling the mucin-producing cells and mucin into the peritoneal cavity, which is the lining of your abdomen. From there, these cells can implant and continue to produce mucin, leading to the characteristic ‘jelly belly’. Less commonly, PMP can originate from other sites, like the ovaries or even the colon, but the appendix is the usual suspect. Because it grows slowly and can mimic other conditions, PMP is often diagnosed late, sometimes years after the initial problem started. This slow progression is a double-edged sword: it gives us time to manage it, but it also means patients might have been living with it for a while without knowing. The gelatinous ascites associated with PMP is distinctive and can lead to abdominal distension, pain, bloating, and changes in bowel habits. The sheer volume of mucin can displace organs, causing discomfort and functional issues. Understanding the specific nature of PMP, its slow growth, its appendiceal origin, and its unique presentation with mucin accumulation is fundamental for anyone seeking information about this condition. It sets the stage for discussing how we spot it and what we can do about it, which we’ll get into next. The management is highly specialized, aiming to debulk the tumor and control the mucin production, often through surgical procedures and chemotherapy. The psychological impact on patients and their families is also significant, making comprehensive support and clear communication essential throughout the treatment process.

Symptoms and Diagnosis: Spotting PMP Early

Alright, so we know PMP sounds serious, but how do you even spot it? The symptoms of Pseudomyxoma Peritonei (PMP) can be pretty vague, especially in the early stages. This is a big reason why diagnosis can sometimes take a while, guys. Because it grows slowly, people might just brush off symptoms as something less serious. Common signs include a feeling of fullness in your abdomen, gradual abdominal distension (your belly getting bigger over time), bloating, and sometimes discomfort or pain. You might notice changes in your bowel habits, like constipation or diarrhea, or even experience nausea and vomiting if the buildup becomes significant enough to press on your stomach or intestines. Unexplained weight gain, particularly around the abdomen, can also be a red flag. Some people might even notice a hernia that seems to be getting larger. It’s the gradual, persistent nature of these symptoms that should prompt a closer look. Diagnosing PMP usually involves a combination of medical history, physical examination, and imaging tests. Your doctor will likely ask detailed questions about your symptoms and any past medical history, especially related to the appendix or ovaries. Imaging is crucial here. CT scans are commonly used to visualize the abdominal cavity, detect the presence of mucin, and assess the extent of the disease, including any tumors or implants. MRI scans might also be used for better detail in certain areas. Ultrasound can sometimes pick up abnormalities, but CT scans are generally preferred for staging PMP. Blood tests might be done, but they usually don’t provide a definitive diagnosis for PMP itself; they can help check for signs of inflammation or other general health markers. The definitive diagnosis, however, often comes with a biopsy . This can be obtained during surgery or sometimes via a needle biopsy guided by imaging. Pathologists examine the tissue under a microscope to confirm the presence of mucinous adenocarcinoma and determine its origin. The characteristic accumulation of mucin and the specific cell types found in the biopsy are key diagnostic features of PMP. Sometimes, incidental findings during surgery for other conditions (like an appendectomy) can lead to an unexpected PMP diagnosis. For example, if an appendix is found to be distended with mucin during a routine appendectomy, further investigation for PMP is warranted. Early and accurate diagnosis is absolutely critical for PMP because it allows for timely intervention, which can significantly improve treatment outcomes and prognosis. The ability to distinguish PMP from other abdominal conditions that cause ascites is a testament to the advancements in diagnostic imaging and pathology. So, keep an ear out for those persistent, unexplained abdominal symptoms, guys, and don’t hesitate to get them checked out – it could be the key to catching PMP early. The journey from noticing a symptom to receiving a PMP diagnosis can be long, but with modern medical tools, it’s becoming more streamlined.

Treatment Options for PMP: Fighting the ‘Jelly Belly’

Now, let’s talk about the big question: how do we fight Pseudomyxoma Peritonei (PMP)? Treating this ‘jelly belly’ is complex, but there are effective strategies, guys. The cornerstone of PMP treatment is often a specialized surgical procedure called Cytoreductive Surgery (CRS) combined with Hyperthermic Intraperitoneal Chemotherapy (HIPEC) . This is a big deal and requires a highly experienced surgical team. CRS involves meticulously removing all visible tumors and the gelatinous mucin from the abdominal cavity. The goal is to get as close to ‘no visible disease’ as possible – and surgeons are often able to achieve remarkable results, clearing out a significant amount of the buildup. Immediately after the tumor removal, HIPEC is performed. This is where heated chemotherapy drugs are washed through the abdominal cavity for a specific period. The heat helps the chemotherapy penetrate the tissues more effectively and kill any microscopic cancer cells that might have been left behind. It’s an aggressive treatment, but it’s often the most effective way to control PMP and prevent recurrence. The success of CRS and HIPEC heavily depends on the skill of the surgical team and the extent of the disease at diagnosis. Not everyone with PMP is a candidate for CRS/HIPEC, especially if the disease is very widespread or if the patient has significant other health issues. In cases where CRS/HIPEC isn’t an option, or as a complementary treatment, systemic chemotherapy might be used. This involves administering chemotherapy drugs intravenously, which travel throughout the body to target cancer cells. While it might not be as effective at directly clearing the mucin as HIPEC, it can help control the growth of cancer cells throughout the body. Follow-up care is also super important. After initial treatment, regular monitoring with imaging scans and check-ups is essential to detect any signs of recurrence early. Sometimes, PMP can recur, and repeat surgeries or further chemotherapy might be necessary. There are also ongoing research efforts exploring new treatment avenues, including targeted therapies and immunotherapy, though CRS/HIPEC remains the gold standard for resectable disease. It’s crucial to remember that treatment plans are highly individualized. The decision-making process involves a multidisciplinary team of specialists, considering the specific type and stage of PMP, the patient’s overall health, and their personal preferences. The prognosis for PMP has improved significantly over the years, thanks to these advanced treatment strategies and the development of specialized centers of excellence. While it’s a challenging diagnosis, the advancements in CRS and HIPEC offer real hope and significantly improved outcomes for many patients facing Pseudomyxoma Peritonei. It’s a testament to medical innovation and the dedication of healthcare professionals in tackling complex conditions.

Living with PMP: Support and Outlook

Dealing with a diagnosis like Pseudomyxoma Peritonei (PMP) is tough, no doubt about it, guys. It’s not just about the physical challenges; there’s a significant emotional and psychological toll too. But the good news is that with the right support and a proactive approach, many people with PMP can lead fulfilling lives. Support systems are key. Connecting with others who have PMP or similar rare cancers can be incredibly empowering. Patient advocacy groups and online communities offer a space to share experiences, exchange tips, and find emotional support from people who truly understand what you’re going through. Don’t underestimate the power of talking to a therapist or counselor, either. They can provide tools and strategies to cope with the stress, anxiety, and potential depression that can come with a chronic or serious illness. Lifestyle adjustments also play a role. After treatment, especially following major surgery like CRS/HIPEC, recovery takes time. Patients often need to focus on nutrition, gentle exercise as recommended by their doctors, and managing any ongoing side effects. Maintaining a healthy diet can support overall well-being and recovery. While PMP is a serious condition, the outlook has significantly improved, particularly with advancements in surgical techniques and chemotherapy. For many, PMP can be managed as a chronic condition, with periods of remission and potential for recurrence. Regular follow-up care with your medical team is non-negotiable. These appointments are vital for early detection of any recurrence, allowing for prompt intervention. Doctors will monitor your progress, manage any lingering symptoms, and adjust treatment plans as needed. The field of PMP research is continually evolving, with ongoing studies exploring new treatment modalities, improving surgical approaches, and enhancing our understanding of the disease’s biology. Staying informed about these advancements can offer hope and potentially better future options. It’s important to maintain a positive outlook, focusing on what can be controlled – adherence to treatment plans, seeking support, and adopting a healthy lifestyle. The journey with PMP is unique for each individual, but with a strong support network, excellent medical care, and a resilient spirit, it is possible to navigate this condition and live well. Remember, you’re not alone in this, and there are dedicated professionals and communities ready to help you every step of the way. Focusing on quality of life, alongside medical treatment, is paramount. This includes engaging in activities you enjoy, maintaining social connections, and finding moments of joy and peace amidst the challenges.

The Future of PMP Treatment

Looking ahead, the future of Pseudomyxoma Peritonei (PMP) treatment is looking brighter, guys. While Cytoreductive Surgery (CRS) with Hyperthermic Intraperitoneal Chemotherapy (HIPEC) has revolutionized care, researchers are always pushing the boundaries. One exciting area is the development of new chemotherapy agents and drug delivery systems . Scientists are investigating drugs that might be more effective against PMP cells or have fewer side effects. Additionally, exploring ways to enhance the delivery of chemotherapy directly to the peritoneal cavity, perhaps through novel techniques or combination therapies, is a key focus. Targeted therapies are another promising frontier. These treatments focus on specific molecular pathways or genetic mutations that drive cancer growth. By identifying these targets, doctors can use drugs designed to specifically attack the cancer cells while sparing healthy ones. This approach holds the potential for more personalized and effective treatment plans. Immunotherapy , which harnesses the power of the patient’s own immune system to fight cancer, is also being explored for various cancers, and its application in PMP is an area of ongoing interest. While still in early stages for PMP, the success of immunotherapy in other cancers offers a glimmer of hope for the future. Minimally invasive surgical techniques are also being refined. While CRS is inherently a major surgery, advancements in laparoscopic and robotic surgery could potentially lead to less invasive approaches for certain cases, possibly reducing recovery times and complications. Biomarkers are crucial for early detection and monitoring. Researchers are working to identify specific markers in blood or tissue that can help diagnose PMP earlier, predict treatment response, and detect recurrence more effectively. This would allow for quicker interventions and more tailored treatment strategies. Furthermore, a better understanding of the molecular biology of PMP itself is fundamental. As we learn more about how these mucinous tumors develop and spread, we can identify new vulnerabilities and develop innovative strategies to combat them. The establishment of specialized PMP centers of excellence worldwide plays a vital role. These centers bring together multidisciplinary teams with extensive experience in treating PMP, leading to improved outcomes and providing a platform for clinical trials and research. The collaborative efforts among researchers, surgeons, oncologists, and patient advocacy groups are driving innovation and paving the way for even more effective treatments and a better quality of life for individuals diagnosed with Pseudomyxoma Peritonei. The focus remains on improving survival rates, reducing treatment-related morbidity, and ultimately finding a cure for this rare condition. The continuous pursuit of knowledge and the development of advanced therapeutic strategies are key to conquering PMP.

Conclusion: Empowering Yourself with Knowledge

So there you have it, guys – a deep dive into Pseudomyxoma Peritonei (PMP) . We’ve covered what it is, how it’s diagnosed, the treatment options available, and what life might look like moving forward. Remember, PMP is rare, but understanding it is the first step towards facing it head-on. The medical field is constantly evolving, offering more hope and better outcomes than ever before. The journey with PMP can be challenging, but with accurate information, a strong support system, and access to specialized care, individuals can navigate this condition effectively. Don’t hesitate to seek second opinions, connect with patient support groups, and ask your medical team every question you have. Empowering yourself with knowledge is truly your greatest asset. We hope this article has provided valuable insights and clarity on Pseudomyxoma Peritonei. Stay informed, stay resilient, and remember you’re not alone.