Pseudarthrosis: Understanding Bone Non-Union

L.Inkish 24 views
Pseudarthrosis: Understanding Bone Non-Union

Pseudarthrosis: Understanding Bone Non-Union

Hey guys, let’s dive into something super important in the medical world, especially when it comes to bones: pseudarthrosis . You might hear this term thrown around, and it basically means false joint . Pretty wild, right? In simple terms, it’s when a broken bone fails to heal properly. Instead of knitting back together like it’s supposed to, the broken ends stay separated, and sometimes, a kind of false joint forms between them. This isn’t a real, functional joint like your knee or elbow; it’s a sign that healing has gone wrong. It can be a real bummer for anyone experiencing it, leading to pain, instability, and a whole lot of frustration. Understanding what causes it, how it’s diagnosed, and what the treatment options are is key to managing this condition. We’re going to break it all down for you, making sure you get the full picture without all the confusing medical jargon. So, buckle up, and let’s get into the nitty-gritty of pseudarthrosis!

What Exactly is Pseudarthrosis?

Alright, so let’s really dig into what pseudarthrosis is, guys. The term itself comes from Greek: ‘pseudes’ meaning false, and ‘arthron’ meaning joint. So, literally, a false joint . Imagine you break your arm. Ideally, the bone cells go into overdrive, creating new bone tissue to bridge the gap, eventually fusing the two ends into one solid bone. But with pseudarthrosis, this crucial healing process hits a snag. Instead of solid bone, the ends of the fracture remain ununited, and what happens is that the body tries to adapt. The broken bone ends might become rounded, smooth, and even develop a fibrous tissue capsule around them, mimicking some features of a real joint. This ‘false joint’ allows for some motion at the fracture site, which is definitely not what you want. This instability is what causes a lot of the pain and functional problems associated with pseudarthrosis. It’s a complex biological failure, and it can happen in various bones throughout the body, though it’s more commonly discussed in long bones like the femur (thigh bone) or tibia (shin bone), and also in the spine. The key takeaway here is that it’s a failure of bone healing , leading to a persistent gap and often, an unstable, painful non-union. It’s a condition that requires medical attention because, left untreated, it can lead to significant long-term issues.

Causes of Pseudarthrosis: Why Does This Happen?

So, what’s the deal? Why does a bone decide not to heal properly and develop pseudarthrosis ? There are a bunch of reasons, and it’s often a combination of factors. Poor blood supply to the fracture site is a big one. Bone needs good blood flow to deliver the nutrients and cells needed for healing. If the blood supply is compromised – perhaps due to the severity of the break, damage to surrounding blood vessels, or even certain medical conditions – healing can be severely impaired. Infection is another major player. If bacteria get into the fracture site, they can wreak havoc, preventing bone cells from doing their job and creating an environment that’s hostile to healing. This is why orthopedic surgeons are super careful about keeping surgical sites clean. Movement at the fracture site is also a common culprit. If the broken bone fragments aren’t kept stable and immobilized (think casts, pins, or plates), they can keep rubbing against each other. This constant motion prevents the delicate bone callus from forming and consolidating. Nutritional deficiencies can also play a role. Our bodies need adequate vitamins and minerals, like calcium and vitamin D, to build strong bones. If someone isn’t getting enough, their bones might struggle to heal. Then there are systemic medical conditions . Things like diabetes, certain autoimmune diseases, or conditions that affect circulation can all negatively impact the body’s ability to heal. Even smoking is a notorious enemy of bone healing; the nicotine constricts blood vessels, reducing the oxygen and nutrient supply to the fracture. Lastly, improper surgical fixation or delayed treatment of the initial fracture can contribute. If the bones aren’t aligned correctly or if treatment is put off for too long, the chances of developing pseudarthrosis increase. It’s a complex puzzle, and pinpointing the exact cause often requires a thorough medical evaluation.

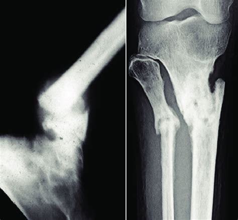
Types of Pseudarthrosis

When we talk about pseudarthrosis , it’s not always a one-size-fits-all situation, guys. Doctors often categorize it to better understand the problem and plan treatment. One common way to classify it is based on its appearance and biological activity. We’ve got hypertrophic pseudarthrosis , and then there’s atrophic pseudarthrosis . Let’s break these down. Hypertrophic pseudarthrosis is often considered the more ‘hopeful’ type, if you can call it that. Here, the body is still trying! You’ll see evidence of attempted healing, like enlarged ends of the bone with what we call ‘elephant ear’ formations or ‘spikes’ (osteophytes) at the fracture site. There’s a lot of callus formation, but it’s disorganized and insufficient to bridge the gap. Think of it as a construction site where there’s a lot of activity, but the building materials just aren’t connecting properly. This type usually indicates a mechanical instability problem – the fracture just hasn’t been held still enough. On the other hand, atrophic pseudarthrosis is the more concerning one. In this scenario, the ends of the bone are often atrophied (shrunken, wasted away) and smooth , with no signs of attempted healing or callus formation. It’s like the body has given up on trying to fix it. The fracture gap might be wide, and the bone ends look dead or non-viable. This can happen due to poor blood supply, infection, or significant bone loss at the fracture site. Atrophic pseudarthrosis is generally harder to treat because there’s less biological activity to work with. Sometimes, you’ll also hear about oligotrophic pseudarthrosis , which is a less common term, often considered an intermediate form between hypertrophic and atrophic, showing minimal signs of healing. Understanding these distinctions helps doctors figure out why the bone isn’t healing and what the best approach will be.

Diagnosing Pseudarthrosis: How Doctors Figure It Out

Spotting pseudarthrosis isn’t always straightforward, but doctors have some pretty solid tools in their arsenal to figure out if you’ve got a non-union going on. The first thing they’ll do is talk to you – get a detailed medical history . They’ll ask about the original injury, how it was treated, if you’ve had any pain or instability, and if you’ve noticed any changes. This is super crucial information, guys! Then comes the physical examination . The doctor will carefully feel the area of the old fracture, check for tenderness, swelling, and most importantly, assess the range of motion and stability. They might try to move the limb gently to see if there’s abnormal movement at the fracture site, which is a big red flag. But the real heavy hitters in diagnosis are the imaging studies. X-rays are usually the first line of defense. They’re great for showing the bone structure, looking for a clear gap between the bone ends, the absence of a solid bone bridge (callus), and potentially signs of instability or bone changes. However, sometimes X-rays aren’t enough, especially if there’s a lot of hardware from previous surgery or if the problem is subtle. That’s where other imaging comes in. CT scans (Computed Tomography) provide much more detailed cross-sectional images of the bone. They’re excellent for visualizing the fracture gap, the bone ends, and the surrounding structures, giving a clearer picture of whether healing is occurring. MRI scans (Magnetic Resonance Imaging) are particularly good at showing soft tissues, like muscles and ligaments, but they can also provide valuable information about the bone marrow and any potential inflammation or infection at the site. Sometimes, if infection is suspected, a bone scan or even a biopsy (taking a small sample of bone tissue) might be necessary to confirm it. Essentially, diagnosis is a detective game, piecing together your story, physical findings, and detailed imaging to confirm that the bone has indeed failed to heal and determine the most likely cause.

Treatment Options for Pseudarthrosis

Okay, so you’ve been diagnosed with pseudarthrosis . What now? Don’t panic, guys! While it’s a serious condition, there are definitely ways to tackle it. The treatment really depends on where the pseudarthrosis is, how long it’s been there, the overall health of the patient, and whether there are any complications like infection. The main goal is always to get that bone to heal and restore function. Non-surgical treatments are usually tried first if possible, but often, surgery is the most effective route. Let’s look at the main strategies.

Surgical Interventions

For many cases of pseudarthrosis , surgery is the gold standard. The primary goal is to create a stable environment for the bone to heal, often by bone grafting and internal fixation . Bone grafting involves taking bone tissue from another part of your body (autograft) or using donor bone (allograft) or synthetic bone substitutes. This graft acts as a scaffold and provides cells and growth factors to stimulate new bone formation across the non-union site. Think of it as giving the bone healing process a super-boost. Internal fixation usually involves using plates, screws, rods, or wires to hold the bone fragments rigidly in place while the graft heals. This stability is absolutely critical – remember how movement can prevent healing? Surgery aims to eliminate that movement entirely. Sometimes, surgeons might use external fixators , which are frames with pins that go through the skin into the bone, holding everything stable from the outside. This is often used when there’s a significant infection or bone loss. In some instances, especially with long bones, procedures like bone transport using an external fixator can be employed where a segment of bone is slowly moved to bridge a gap. Revisions of previous surgeries might also be necessary if the initial fixation failed. The choice of procedure is highly individualized. If infection is present (a septic non-union), it adds a layer of complexity, often requiring removal of infected hardware, prolonged antibiotic treatment, and staged reconstruction. It’s a tough road, but reconstructive surgery can often salvage the limb and function.

Non-Surgical Approaches

While surgery is often the go-to for pseudarthrosis , there are some non-surgical approaches that might be considered, though their success rates are generally lower, especially for established non-unions. These are often adjuncts to surgery or for specific, less severe cases. One method involves using electrical stimulation . There are devices that deliver low-level electrical currents to the fracture site, which some studies suggest can encourage bone healing. This can be done non-invasively (through the skin) or invasively (with implanted electrodes). Another area of research and some clinical use is growth factors . These are biological substances, like Bone Morphogenetic Proteins (BMPs), that can be applied to the fracture site to stimulate bone growth. They are often used in conjunction with bone grafts and fixation during surgery but are sometimes explored as standalone treatments in specific situations. Hyperbaric oxygen therapy (HBOT) has also been investigated, particularly for radiation-induced injuries or complex wound healing, and has shown some promise in improving bone healing in certain scenarios by increasing oxygen delivery to tissues. For certain types of spinal pseudarthrosis, bracing might be used to limit motion and provide some stability, potentially allowing for healing, but this is less common for long bone non-unions. It’s important to emphasize, guys, that for most significant pseudarthrosis cases, especially those causing pain and instability, these non-surgical methods alone are unlikely to achieve solid bone union. They are typically considered when surgery is not an option or as supplementary treatments. Always discuss the best options for your specific situation with your orthopedic specialist.

Prognosis and Recovery

So, what’s the outlook like once you’re dealing with pseudarthrosis and getting treatment? The prognosis for pseudarthrosis really varies, but generally, with appropriate and timely treatment, the outlook is positive, though recovery can be a long haul. The key is to get it fixed! If left untreated, pseudarthrosis can lead to chronic pain, significant disability, deformity, and even the need for amputation in severe, neglected cases. But when it’s addressed, especially with surgery, the goal is to achieve solid bone healing, restore the limb’s length and alignment, and get you back to your normal activities. Recovery after surgery for pseudarthrosis is typically extensive. You’ll likely be on crutches or using other mobility aids for a period, and there will be restrictions on weight-bearing to protect the healing bone and any surgical hardware. Physical therapy is an absolute cornerstone of recovery. It helps you regain strength, range of motion, and function in the affected limb. This can take months, sometimes even up to a year or more, depending on the complexity of the surgery and the individual’s healing capacity. Patients need to be patient and diligent with their rehab. Post-operative X-rays will be used to monitor healing. Sometimes, a second surgery might be needed if the initial graft or fixation doesn’t quite take, or if complications arise. Managing pain and preventing infection are also crucial aspects of the recovery process. It’s a journey that requires commitment from both the patient and the medical team, but achieving a solid union and regaining function is definitely possible. So, while it’s a tough diagnosis, remember that advancements in orthopedic surgery offer good hope for a successful outcome. Keep your spirits up, work closely with your doctors, and stay committed to your recovery!

Living with Pseudarthrosis

Dealing with pseudarthrosis , whether before, during, or after treatment, can really impact your day-to-day life, guys. It’s not just about the physical pain and limitations; it’s also the emotional toll. You might feel frustrated, anxious, or even depressed because of the disruption to your routine, work, and hobbies. Pain management is often a significant part of living with pseudarthrosis, especially if you’re waiting for surgery or if treatment isn’t fully successful. This might involve medication, but also exploring non-pharmacological approaches like gentle exercise (as tolerated), heat/cold therapy, and mindfulness techniques. Activity modification is also key. You’ll need to learn to listen to your body and avoid activities that aggravate your symptoms. This might mean adjusting your job, your sports, or even just how you perform everyday tasks. Support systems are incredibly important. Talking to family, friends, or joining support groups (online or in-person) for people with similar orthopedic issues can provide invaluable emotional support and practical advice. Understanding your condition thoroughly, as we’ve tried to do here, also empowers you to be an active participant in your treatment decisions and recovery. It’s about adapting and finding ways to maintain a good quality of life despite the challenges. Remember, pseudarthrosis is a medical condition, and with the right approach and support, you can navigate through it and work towards a better future.