Gynecologic Ultrasound: Your Guide

L.Inkish 91 views
Gynecologic Ultrasound: Your Guide

Gynecologic Ultrasound: Your Guide

Hey guys! Let’s talk about something super important for women’s health: gynecologic ultrasounds . You might be wondering what exactly a gynae ultrasound is, why you might need one, and what to expect. Well, you’ve come to the right place! This comprehensive guide is here to break down everything you need to know about these common and incredibly useful imaging tests. We’ll cover what they look for, how they’re performed, and why they’re a cornerstone in diagnosing and managing a wide range of female reproductive health issues. So, grab a comfy seat, and let’s dive into the world of gynecologic ultrasounds!

What is a Gynecologic Ultrasound?

A gynecologic ultrasound , often referred to as a pelvic ultrasound in women, is a non-invasive imaging technique that uses high-frequency sound waves to create detailed pictures of the organs within the female pelvis. Think of it like sonar for your insides! These sound waves bounce off the tissues and organs, and a computer then translates these echoes into images. The primary goal of a gynecologic ultrasound is to visualize and assess the health of your uterus, ovaries, fallopian tubes, cervix, and vagina. It’s an incredibly versatile tool that can help doctors detect a wide array of conditions, from common issues like ovarian cysts and uterine fibroids to more serious concerns. The beauty of ultrasound is that it doesn’t involve radiation, making it a safe option for many women, including pregnant individuals. We’ll explore the different types of ultrasounds and what specific conditions they can help diagnose. Understanding the basics is the first step to feeling more comfortable and informed about your healthcare journey, and this guide aims to give you that knowledge. So, let’s get into the nitty-gritty of what these amazing machines can show us.

Why Might You Need a Gynecologic Ultrasound?

So, why exactly would your doctor recommend a gynecologic ultrasound ? There are quite a few reasons, and they usually boil down to investigating symptoms or screening for potential problems. One of the most common reasons is to investigate pelvic pain . If you’re experiencing persistent or severe pain in your lower abdomen or pelvic area, an ultrasound can help pinpoint the cause. This could be anything from a simple ovarian cyst to something more complex. Another big reason is abnormal uterine bleeding . This includes heavy periods, irregular bleeding, spotting between periods, or bleeding after menopause. An ultrasound can help visualize the lining of your uterus (the endometrium) and the uterus itself to look for issues like polyps, fibroids, or thickening of the lining, which can all cause bleeding problems. Infertility is another significant area where ultrasounds play a crucial role. Doctors use them to assess the uterus and ovaries for structural abnormalities that might affect fertility, such as fibroids distorting the uterine cavity or conditions like polycystic ovary syndrome (PCOS) that affect ovulation. Furthermore, ultrasounds are often used to monitor the growth of follicles in the ovaries during fertility treatments like IVF. If you have a palpable mass felt during a pelvic exam, an ultrasound is usually the next step to determine what that mass is – is it an enlarged ovary, a cyst, or something else? They’re also essential for screening and diagnosing ovarian cysts and ovarian cancer , although routine screening for ovarian cancer in asymptomatic women is not typically recommended. However, if there’s a suspicion or a family history, an ultrasound can be a vital diagnostic tool. Lastly, they are used to check the position and placement of intrauterine devices (IUDs) and to assess conditions like endometriosis or adenomyosis . Basically, if something seems off with your reproductive organs, an ultrasound is often the go-to diagnostic test to get a clear picture of what’s happening inside.

Types of Gynecologic Ultrasounds

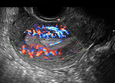
When it comes to gynecologic ultrasounds , there isn’t just one way to do things. Doctors typically choose the method that will give them the best view of the area they’re concerned about. The two main types are transabdominal ultrasound and transvaginal ultrasound . Let’s break them down. The transabdominal ultrasound is probably the one most people picture. Here, the technician applies a gel to your lower abdomen and then moves a transducer (the wand-like device) over the skin. This method provides a broader view of the pelvic organs and is often used when you have a fuller bladder, which helps push the organs up and away from the pelvic bone, making them easier to see. It’s great for getting an overall look at the uterus and ovaries, especially if there’s a concern about a large mass. Now, the transvaginal ultrasound is a bit different and often provides more detailed images of the uterus and ovaries. For this type, a smaller, covered transducer is gently inserted into the vagina. Don’t worry, guys, it’s usually not painful, just a bit strange feeling for some. This method allows the sound waves to get closer to the organs, resulting in clearer, more magnified images. It’s particularly useful for examining the uterine lining, detecting small fibroids or cysts, and evaluating early pregnancy. Sometimes, your doctor might recommend a combination of both to get the most comprehensive information. There’s also a specialized type called a 3D ultrasound , which can create more realistic, three-dimensional images of the pelvic organs. This can be helpful in diagnosing certain congenital abnormalities of the uterus or providing more detailed views of fibroids. Finally, there’s the Doppler ultrasound , which is often used in conjunction with other types. This technique assesses blood flow within the pelvic organs, which can be important in evaluating conditions like ovarian torsion or assessing blood supply to tumors. Each type has its strengths, and your healthcare provider will select the best approach for your specific needs.

What Does a Gynecologic Ultrasound Detect?

Guys, the power of a gynecologic ultrasound lies in its ability to reveal a wide spectrum of conditions affecting the female reproductive system. It’s like having a secret window into your body! One of the most common findings is ovarian cysts . These are fluid-filled sacs that can develop on the ovaries. While most are harmless and disappear on their own, some can cause pain or be a sign of something more serious, and an ultrasound helps differentiate. Uterine fibroids are another very frequent detection. These are non-cancerous growths in the uterus that can cause heavy bleeding, pain, and pressure. Ultrasound is excellent at showing their size, number, and location. For women experiencing issues with conception, ultrasounds are crucial for diagnosing infertility causes . They can identify abnormalities in the uterine cavity, such as septums or polyps, and assess the ovaries for conditions like PCOS. Endometriosis , a condition where uterine tissue grows outside the uterus, can also be suspected and sometimes diagnosed with ultrasound, especially if it causes cysts or adhesions. Adenomyosis , where the uterine lining tissue grows into the muscular wall of the uterus, is another condition well-visualized by ultrasound. In cases of suspected infection or inflammation, like pelvic inflammatory disease (PID) , ultrasound can help detect fluid collections or abscesses. For women who have had a pregnancy, ultrasounds can confirm the presence of retained tissue after childbirth or miscarriage. They are also vital in monitoring pregnancy , checking fetal development, and identifying potential complications. Lastly, and importantly, while not a primary screening tool for everyone, ultrasounds can identify suspicious masses in the ovaries or uterus that might require further investigation for cancer . This includes uterine cancer, ovarian cancer, and cervical cancer. It’s truly a comprehensive tool for assessing reproductive health.

Preparing for Your Ultrasound

Okay, so you’ve got a gynecologic ultrasound scheduled. What do you need to do to prepare? It’s usually pretty straightforward, guys, and the main thing is ensuring the technician gets the clearest possible images. The most common preparation instruction is to have a full bladder . Yep, you read that right! You’ll likely be asked to drink a good amount of water (usually about 32 ounces or a liter) about an hour before your appointment. Why the full bladder, you ask? It acts as an acoustic window, pushing your bowel out of the way and lifting your pelvic organs up, making them much easier to see clearly on the ultrasound. So, try not to go to the bathroom right before your appointment. You’ll be asked to drink that water and then hold it. The technician will likely start with a transabdominal scan while your bladder is full. After that, they might ask you to empty your bladder for a transvaginal scan, if that’s part of your examination. Other than the full bladder, there’s usually no special diet or medication restrictions, but it’s always best to confirm with your doctor’s office or the imaging center when you book your appointment. They might have specific instructions based on the type of ultrasound you’re having or your individual medical history. Wear comfortable clothing, as you’ll need to lower your clothes from the waist down. Some clinics provide gowns, but it’s often easier to wear something easily removable. If you have any specific concerns or questions about the preparation, don’t hesitate to call your doctor’s office. Being prepared makes the whole experience smoother and helps ensure the best diagnostic results.

What to Expect During the Ultrasound

Alright, let’s walk through what happens during your gynecologic ultrasound appointment. First off, try not to be nervous, guys! The technicians are professionals, and their main goal is to get the best images possible to help your doctor diagnose you. When you arrive, you’ll likely check in and then be shown to an examination room. You’ll be asked to undress from the waist down and cover yourself with a sheet or gown. As we mentioned, the first part might involve a transabdominal ultrasound . The technician will apply a warm, clear gel to your lower abdomen. This gel is crucial because it helps the transducer glide smoothly and eliminates air pockets between the transducer and your skin, allowing the sound waves to travel effectively. Then, they’ll press the transducer against your abdomen and move it around, tilting and angling it to get different views. You might feel some pressure, but it shouldn’t be painful. They’ll look at your uterus, ovaries, and other pelvic structures. After the transabdominal scan, if a transvaginal ultrasound is needed, you’ll likely be asked to empty your bladder. The technician will then cover a smaller, slender transducer with a protective sheath (often with a bit of lubricant) and gently insert it into the vagina. Again, this might feel a little strange, but it’s generally not painful. They’ll maneuver this transducer to get very close-up, detailed images of your uterus, cervix, and ovaries. You’ll usually be able to see the images on a screen nearby, though it might look like a black and white fuzzy picture to you – the technician knows what they’re looking for! The whole process typically takes about 20 to 40 minutes, depending on what the doctor needs to see. After the scan, you can get dressed, and the technician will process the images for the radiologist to interpret. The radiologist will then send a report to your doctor, who will discuss the results with you at a follow-up appointment. It’s a pretty straightforward procedure, designed to gather essential information about your reproductive health.

When Will You Get the Results?

So, you’ve just had your gynecologic ultrasound , and you’re probably wondering, “When do I get to know what’s going on?” This is a super common question, guys! The results of your ultrasound aren’t usually available immediately. Here’s the typical process: After the scan is completed, the technician will save the images and any measurements they’ve taken. These images are then reviewed by a radiologist . A radiologist is a doctor who specializes in interpreting medical images like X-rays, CT scans, and ultrasounds. They analyze all the visual data from your ultrasound and write a detailed report outlining their findings, noting any abnormalities, and providing a diagnosis or suggesting further tests if needed. This report is then sent to the doctor who ordered the ultrasound – usually your gynecologist or primary care physician. The time it takes for this whole process can vary. It often takes anywhere from 24 to 72 hours for the radiologist’s report to be completed and sent to your doctor’s office. However, in some cases, especially if there are urgent findings, the radiologist might communicate directly with your doctor sooner. Your doctor will then review the report and compare it with your medical history and symptoms. They will typically schedule a follow-up appointment with you to discuss the results in detail. This allows them to explain what the findings mean for your health, answer any questions you have, and discuss the next steps, whether that’s reassurance that everything is normal, a prescription, or a referral to a specialist. If you haven’t heard from your doctor’s office within a week, it’s perfectly acceptable to give them a call to check on the status of your report. Remember, patience is key here, as accuracy is more important than speed when it comes to your health.

The Importance of Regular Check-ups

Finally, guys, let’s wrap this up by emphasizing the importance of regular check-ups , including those crucial gynecologic ultrasounds when recommended. Your reproductive health is a vital part of your overall well-being, and staying proactive is key. Regular pelvic exams and discussions with your gynecologist allow for early detection of potential issues. Ultrasounds, when indicated by your doctor, are powerful tools in this process. They can catch problems like fibroids, cysts, or early signs of more serious conditions when they are most treatable. Don’t wait until you have significant symptoms to seek medical attention. Many conditions can be managed more effectively and with less invasive treatments if caught early. Think of these check-ups as preventative maintenance for your body. They empower you with knowledge about your health and provide peace of mind. So, listen to your body, don’t hesitate to discuss any concerns with your healthcare provider, and make those appointments. Your future self will thank you for it! Stay healthy!